Cao răng, còn được biết đến là vôi răng, là các mảng bám chứa vi khuẩn bị vôi hoá, cứng lại và bám chắc ở mép lợi hay trên bề mặt răng. Mảng bám là hỗn hợp của nước bọt, thức ăn, vi khuẩn và axit. Nếu mảng bám không được loại bỏ, lâu ngày chúng cứng lại và hình thành cao răng. Cùng tìm hiểu nguyên nhân hình thành cao răng và các mảng bám đen trên răng, cũng như các cách phòng tránh dưới đây.

Nguyên nhân hình thành cao răng
Những nguyên nhân hình thành cao răng phổ biến có thể do những thói quen vệ sinh răng miệng chưa đúng cách, cụ thể như:
- Chải răng sai cách và không làm sạch mặt răng tạo môi trường cho vi khuẩn có điều kiện phát triển trong các kẽ răng.
- Chế độ ăn chứa nhiều thực phẩm có đường hóa học như nước ngọt, bánh kẹo cũng làm cho mảng bám hình thành nhanh chóng và là nguyên nhân bị cao răng.
- Nếu bạn bỏ qua thói quen đánh răng thường xuyên ngày hai lần, sáng và tối, thức ăn còn sót lại và vi khuẩn trong khoang miệng sẽ tạo ranhững mảng bám đen trên răng, cũng có thể là nguyên nhân gây cao răng.
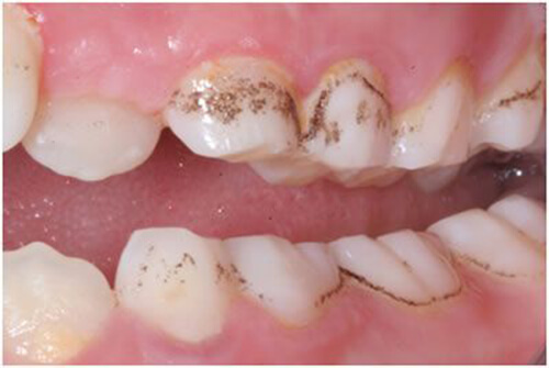
Cao răng màu đen được hình thành tương tự như tất cả các loại cao răng khác. Cao răng màu đen hay mảng bám đen trên răng có thể là dấu hiệu bạn đang bị sâu răng. Do vậy, bạn nên cẩn trọng và tốt nhất là hãy ngăn ngừa mảng bám khi có thể.
Ngăn ngừa mảng bám và phòng tránh cao răng như thế nào?
Thói quen chăm sóc răng miệng đúng cách là điều rất quan trọng trong việc hạn chế cao răng:
Mảng bám và cao răng có nguy cơ gây các bệnh lý về nướu. Để ngăn ngừa mảng bám màu đen trên răng và sâu răng, các bệnh về nướu, bạn nên đánh răng sáng và tối, dùng chỉ nha khoa và nước súc miệng thường xuyên. Bạn có thể sử dụng kem đánh răng chứa fluor góp phần hạn chế hình thành cao răng.
Bạn hãy hẹn gặp nha sĩ 6 tháng đến 1 năm một lần để kiểm tra răng miệng và lấy cao răng.
Bên cạnh việc đi khám răng định kỳ, bạn nên hạn chế các thực phẩm có màu, hút thuốc lá để ngăn ngừa nguyên nhân cao răng và mảng bám đen trên răng.
Nếu bạn nghi ngờ mình có cao răng màu đen hay mảng bám đen trên răng hàm, bạn nên gặp nha sĩ để được vệ sinh răng miệng chuyên nghiệp. Nha sĩ cũng sẽ chỉ dẫn bạn cách vệ sinh răng miệng đúng cách để hạn chế hình thành cao răng.Thói quen chăm sóc răng miệng tốt sẽ giúp bạn có hàm răng chắc khoẻ và nụ cười rạng rỡ.
Bài viết liên quan: